뇌 건강, 숨겨진 비밀: 근육과 지방의 놀라운 상관관계
혹시 ‘뇌섹남’이라는 신조어를 들어보셨나요? 단순히 외모만 멋진 것이 아니라, 뇌까지 섹시한 남자를 뜻하는 말입니다. 그런데 최근 연구 결과에 따르면, 뇌섹남의 조건에는 놀랍게도 ‘탄탄한 근육’이 포함될 수 있습니다. 몸에 근육량이 많고 복부지방이 적을수록 뇌 노화 속도가 늦어진다는 연구 결과가 발표되었기 때문입니다. 이는 단순히 외모 관리를 넘어, 뇌 건강을 위해서라도 근육을 키우고 내장지방을 줄이는 것이 중요하다는 것을 시사합니다. 건강한 삶을 위한 새로운 지표가 제시된 셈입니다.

연구 결과: 근육량과 뇌 나이의 놀라운 상관관계
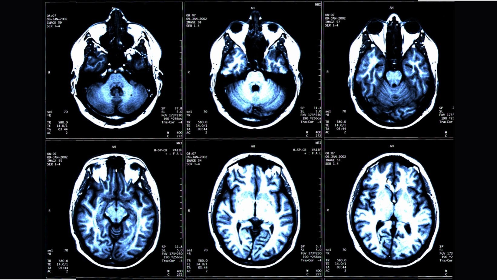
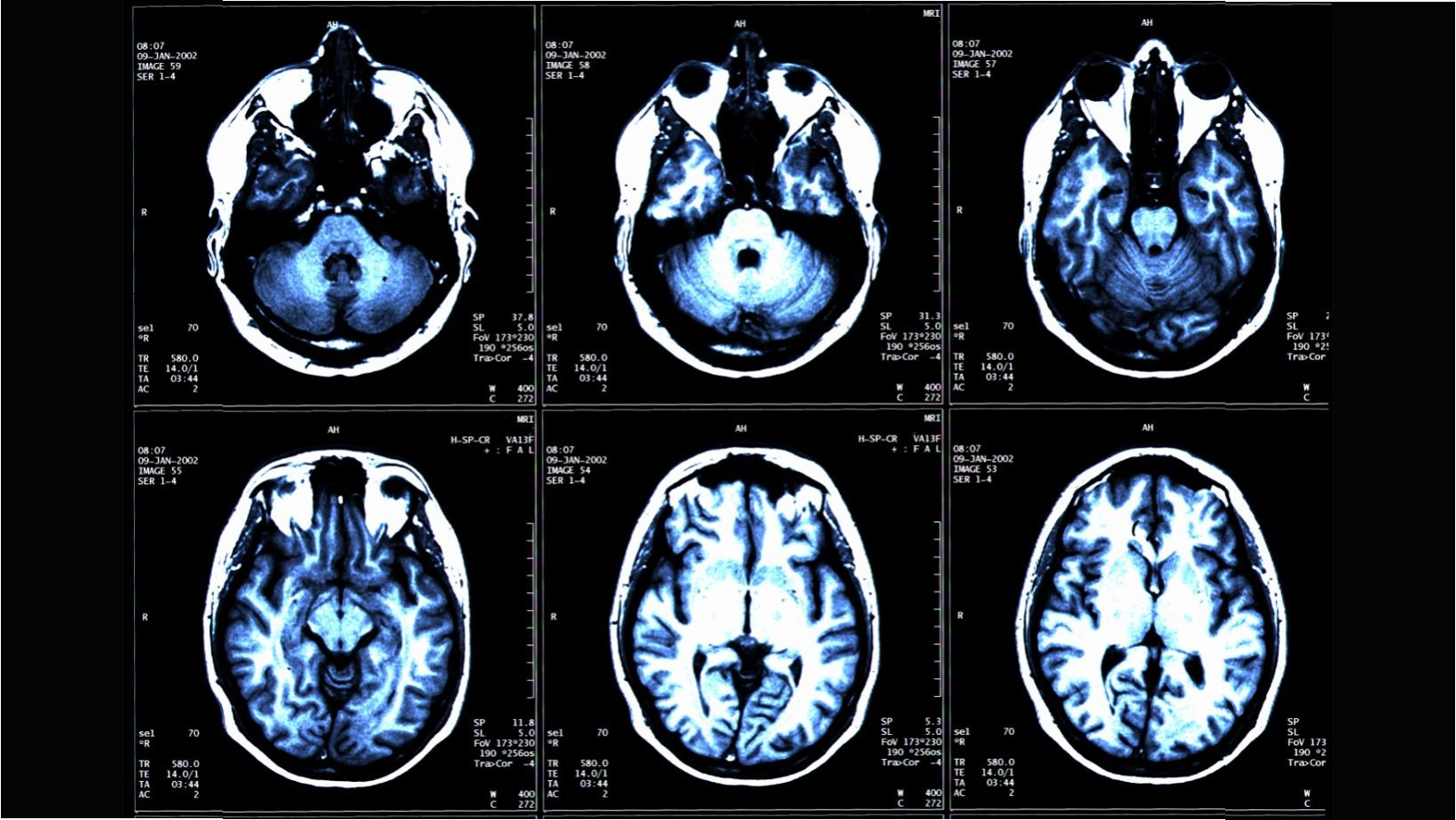
미국 워싱턴대 의대 사이러스 라지 박사팀은 북미영상의학회 연례 학술대회(RSNA 2025)에서 이 같은 연구 결과를 발표할 예정입니다. 연구팀은 전신 MRI를 통해 건강한 성인 1164명의 근육과 지방, 뇌 조직을 촬영하고, 인공지능(AI)으로 분석했습니다. 그 결과는 매우 흥미로운데요. 총근육량이 많을수록 실제 나이가 더 적고 뇌 MRI로 계산한 뇌 나이도 더 젊은 것으로 나타났습니다. 즉, 근육이 많을수록 뇌가 젊어진다는 것입니다. 이는 단순히 추측이 아닌, 과학적인 데이터로 증명된 사실입니다.

내장지방, 뇌 건강의 적? 피하지방과는 다른 결과
연구 결과는 여기서 멈추지 않습니다. 내장지방과 뇌 나이의 관계도 밝혀졌는데요. 내장지방이 많을수록 실제 나이와 뇌 나이가 모두 더 높아진다는 것이 확인되었습니다. 이는 내장지방이 뇌 노화에 부정적인 영향을 미친다는 것을 의미합니다. 반면, 피부 바로 아래에 있는 피하지방은 뇌 노화와 관련성이 없는 것으로 나타났습니다. 같은 지방이라도 그 위치에 따라 뇌 건강에 미치는 영향이 다르다는 점이 놀랍습니다. 건강 관리에 있어서 단순히 체중 감량이 중요한 것이 아니라, 어떤 종류의 지방을 줄이느냐가 중요하다는 것을 보여줍니다.

라지 박사의 설명: 근육과 뇌 건강의 연결고리
라지 박사는 이번 연구 결과를 통해 근육과 뇌 건강의 밀접한 관계를 강조했습니다. “근육이 더 많은 사람이 더 젊어 보이는 뇌를 가진 반면, 근육에 비해 복부 지방이 많은 사람은 더 나이가 들어 보이는 뇌를 가지고 있었다”라고 설명하며, 근육의 중요성을 강조했습니다. 또한, “즉 근육이 더 많고 내장지방대 근육 비율이 낮을수록 뇌 노화가 늦어진다”고 덧붙였습니다. 이는 뇌 건강을 위해서는 근육을 키우고 내장지방을 줄이는 것이 필수적이라는 것을 의미합니다. 건강한 뇌를 위해 지금 당장 실천할 수 있는 목표가 생긴 셈입니다.

뇌 건강을 위한 실천적인 조언
결론적으로, 뇌 건강을 위해서는 근육을 늘리고 내장지방을 줄이는 것이 중요합니다. 라지 박사는 “뇌건강을 위해 실천 가능한 목표는 근육을 늘리고 내장지방을 줄이는 것”이라고 강조했습니다. 이는 단순히 운동을 열심히 하는 것뿐만 아니라, 식단 관리도 중요하다는 것을 의미합니다. 건강한 식단을 통해 내장지방을 줄이고, 꾸준한 운동으로 근육량을 늘리는 것이 뇌 건강을 지키는 핵심입니다. 오늘부터라도 뇌 건강을 위한 습관을 만들어보는 것은 어떨까요?

연령 증가와 뇌 건강의 관계
일반적으로 연령이 증가함에 따라 근육량은 감소하고 복부 지방은 증가하는 경향이 있습니다. 그러나 이번 연구 결과는 이러한 변화가 뇌 노화 자체와도 연관된다는 것을 보여줍니다. “연령 증가가 근육량 감소와 복부 지방 증가로 이어진다고 보통 알려졌지만, 이 결과는 이런 건강 지표가 뇌 노화 자체와도 연관된다는 것을 보여준다”는 라지 박사의 설명처럼, 나이가 들수록 뇌 건강에 더욱 신경 써야 합니다. 꾸준한 운동과 건강한 식습관을 통해 뇌 건강을 유지하고, 더욱 건강한 삶을 누릴 수 있기를 바랍니다.

핵심 정리: 근육은 뇌 건강의 열쇠!
결론적으로, 뇌 건강을 위해서는 근육을 키우고 내장지방을 줄이는 것이 매우 중요합니다. 이번 연구는 근육량과 뇌 나이 사이의 긍정적인 상관관계를 밝혀냈으며, 내장지방이 뇌 노화에 미치는 부정적인 영향을 확인했습니다. 뇌 건강을 위해 지금 당장 근육을 키우고 내장지방을 줄이는 노력을 시작해 보세요. 건강한 뇌는 더욱 활기찬 삶을 위한 든든한 기반이 될 것입니다.

궁금증 해결! 자주 묻는 질문
Q.근육을 키우기 위한 효과적인 방법은 무엇인가요?
A.근력 운동과 유산소 운동을 병행하는 것이 좋습니다. 웨이트 트레이닝을 통해 근육량을 늘리고, 유산소 운동으로 체지방을 줄이는 것이 효과적입니다. 또한, 단백질 섭취를 충분히 하는 것도 중요합니다.
Q.내장지방을 줄이기 위한 식단은 어떻게 구성해야 하나요?
A.정제 탄수화물, 가공식품, 당분 섭취를 줄이고, 채소, 과일, 통곡물, 단백질을 충분히 섭취하는 것이 좋습니다. 특히, 섬유질이 풍부한 식품은 내장지방 감소에 도움이 됩니다.
Q.뇌 건강을 위한 다른 방법이 있나요?
A.충분한 수면, 스트레스 관리, 인지 훈련 등도 뇌 건강에 도움이 됩니다. 긍정적인 마음가짐을 유지하고, 규칙적인 생활 습관을 갖는 것도 중요합니다.

'이슈' 카테고리의 다른 글
| 뽀뽀 한 번이 아이를 중환자실로? RSV, 영유아 건강 위협하는 위험한 바이러스 (0) | 2025.11.30 |
|---|---|
| 속초 홍게 사기 사건, '바가지 요금' 논란에 휩싸인 속초, 소비자 분노 폭발! (0) | 2025.11.30 |
| 유튜브 프리미엄 라이트 출시, 음악 플랫폼 지각변동 예고: 멜론, 지니, 플로, 반격의 기회? (0) | 2025.11.30 |
| 쿠팡, 3370만 고객 정보 유출: 내부 직원 소행? 역대급 개인정보 유출 사태의 전말 (0) | 2025.11.30 |
| 국산 고구마, 점유율 41.1% 돌파! K-고구마 시대 열리나? (0) | 2025.11.30 |